Нижегородке, страдающей от головных болей, удалили грибок в носу
Настоящей причиной недомогания оказался грибок, разросшийся в основной пазухе носа
В Нижнем Новгороде врачи удалили грибок из пазухи носа пациентки, страдавшей от сильных головных болей. Об этом сообщает главред ИА «Стационар-Пресс» Алексей Никонов.
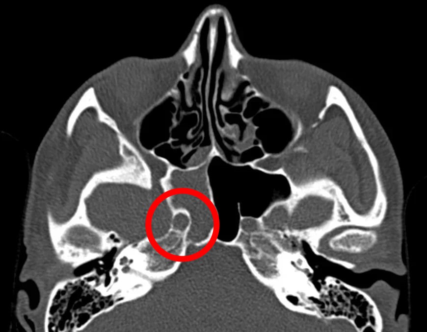
Жительница Нижнего Новгорода, долгое время связывавшая свои мучительные головные боли с магнитными бурями, обратилась к врачам и оказалась на операционном столе. Настоящей причиной недомогания оказался грибок, разросшийся в основной пазухе носа. На видеоэндоскопических снимках, сделанных во время операции, отчетливо виден тёмно-коричневый грибок, глубоко расположенный в пазухе.
Диагноз был поставлен после компьютерной томографии, которая выявила патологические изменения в области околоносовых пазух. По словам ЛОР-хирурга Григория Белозерова, операция проходила в зоне повышенного риска — буквально в миллиметре от внутренней сонной артерии, питающей головной мозг. Малейшая ошибка могла привести к необратимым последствиям.
Ранее на сайте pravda-nn.ru сообщалось о том, что футзалиста «Торпедо» Антона Оппера прооперировали в Нижнем Новгороде.


