Нижегородские врачи спасли руку подростка после тяжёлой травмы и осложнений
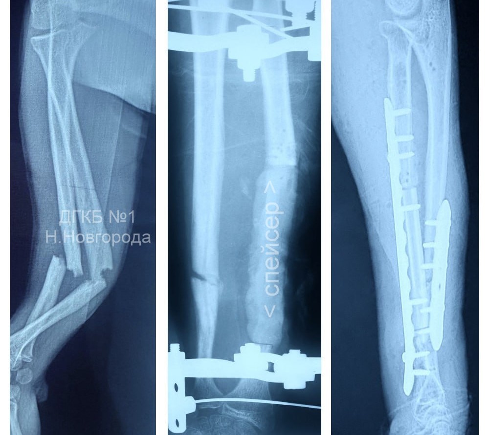
Подросток упал с небольшой высоты и получил закрытый перелом обеих костей левого предплечья
Медики детской городской клинической больницы №1 Нижнего Новгорода провели сложную многоэтапную операцию и спасли руку 14-летнему школьнику, получившему тяжёлую травму на отдыхе за границей. Об этом сообщает главред ИА «Стационар-Пресс» Алексей Никонов.
Несчастный случай произошёл во время каникул: подросток упал с небольшой высоты и получил закрытый перелом обеих костей левого предплечья. В зарубежной клинике ему провели операцию лишь на десятые сутки после травмы, что привело к развитию серьёзного осложнения — остеомиелита, гнойного воспаления костной ткани.
По возвращении в Россию ребёнка срочно госпитализировали в детскую городскую клиническую больницу №1. Нижегородские травматологи диагностировали гнойное посттравматическое воспаление и приступили к спасению конечности.
«На первом этапе лечения был зачищен гнойный очаг и удалено 9 сантиметров омертвевшей кости, на её место установили антимикробный спейсер с химиопрепаратами, а также выполнена переустановка аппарата Илизарова», — рассказал заведующий травматологическим отделением больницы Степан Секаев.
На втором этапе лечения врачи восстановили костную ткань с помощью аутотрансплантации: дефект заполнили фрагментом малоберцовой кости самого пациента, а повреждённые участки зафиксировали специальными пластинами. Руку подростка удалось не только спасти, но и полностью восстановить её функции. Сейчас пациент уже выписан из стационара и вернулся к привычному образу жизни.
Ранее на сайте pravda-nn.ru сообщалось о том, что врачи восстановили руку нижегородцу, которую он случайно отрезал циркуляркой.


